舌側矯正(裏側矯正)
舌側矯正(裏側矯正)とは

一般的な矯正治療(唇側矯正=表側矯正)は、歯の表側にブラケットやワイヤーなどの矯正装置をつけるため、外から装置が見えます。一方、舌側矯正(裏側矯正)は、その名の通り歯の裏側に矯正装置を着けて歯を動かしていく治療法でリンガル矯正とも呼ばれます。この方法は、表から装置が見えにくく、目立ちにくいので、周囲の人に気づかれず治療を進めることができ、審美的な面でも優れています。また、歯の裏側に装置があることで、表側に比べて虫歯のリスクが低いというメリットもあります。職業柄矯正装置が目立つと困る方や、結婚式などのイベントを控えている方などに適しています。装置の装着には年齢制限はなく、子供から大人まで広く対応可能です。
メリット・デメリット
<メリット>
- 目立たない:装置が歯の裏側にあるため、他人に矯正治療中であることが気づかれにくい。
- 虫歯になりにくい:歯の裏側はエナメル質が厚く、唾液が常に流れるため、虫歯のリスクが低い。
- 口元が自然:唇に装置が触れないため、唇の形が変わらず自然な口元を保てます。
- スポーツや楽器演奏がしやすい:特にマウスピースを使用する楽器演奏者にとって支障が少ない。
<デメリット>
- 違和感:初期には舌に違和感を感じたり、発音がしにくいことがある。
- 歯磨きの難しさ:装置が見えにくいため、歯磨きに慣れるまで時間がかかる。
- 費用が高い:専門的な技術が必要で、装置がオーダーメイドであるため、高額になりがち。
こんな方におすすめです。
- 矯正装置が目立っては困る職業の方(アナウンサー、営業職、医療従事者など)。
- 前歯の歯並びや出っ歯が気になる方。
- 結婚式などの重要なイベントを控えている方。
- 演奏会やコンクールに参加する管楽器演奏者。
装置の種類
フルリンガル

上下の歯列ともに裏側から矯正装置を装着する方法です。最大の特徴は、装置が全く見えないことです。適応には個人差があり、発音障害が一時的に生じることもありますが、多くの場合、2週間程度で慣れます。
以下各医院様で使用している装置(例えば、クリッピーL、WIN、HARMONYなど)を紹介しているケースもあります。
舌側矯正(フルリンガル)症例
舌側矯正(フルリンガル):23歳6か月 女性
<主訴>歯が出ているのを引っ込めたい
<抜歯/上・下顎左右第一小臼歯、上顎左右智歯抜歯
<治療内容・装置>上・下顎リンガルブラケット装置、上顎歯科矯正用アンカースクリュー
<治療期間>2年1か月
<費用>約138万円(税込)
<リスクと副作用>舌にあたるので違和感は唇側の装置より大きい場合があります。歯の移動に伴う痛みがある場合があります。食べ物が装置に絡みやすくなります。保定装置の使用が不良だと後戻りする場合があります。
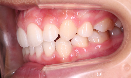
治療前
治療中
治療後
ハーフリンガル

上側の歯列のみ裏側に矯正装置を装着し、下側は表側に装置をつける方法です。これにより費用が比較的抑えられ、舌の違和感も軽減されます。特に、笑った時に上顎しか見えないことが多い人に適しています。
舌側矯正(ハーフリンガル)症例
舌側矯正(ハーフリンガル):19歳8か月 女性
<主訴>犬歯が前に出ている
<抜歯/上・下顎左右第一小臼歯
<治療内容・装置>上顎リンガルブラケット装置、下顎マルチブラケット装置、上顎歯科矯正用アンカースクリュー
<治療期間>2年0か月
<費用>約103万円(税込)
<リスクと副作用>舌にあたるので違和感があります。歯の移動に伴う痛みがある場合があります。堅い食べ物を食べると装置が破損する場合があります。保定装置の使用が不良だと後戻りする場合があります。
治療前
治療中
治療後
舌側矯正(裏側矯正)は、目立たずに矯正治療を行いたい方、特に人前に立つ機会が多い方や重要なイベントを控えている方に向いています。高い審美性と実用性を兼ね備えた治療法ですが、以前は、舌が装置に当たる、痛みや違和感が強い、滑舌が悪くなるというようなデメリットもありました。最近では矯正装置が進化してとてもコンパクトになり、痛みや違和感、喋りにくさが軽減し、多くの方が快適に治療を受けることができるようになっていますので、お気軽にご相談ください。

































